«Да здравствует жизнь»: в Волжском установили памятник медикам, боровшимся с ковидом
Новая скульптура «Viva vita» украсила двор городской больницы № 2. В церемонии открытия приняли участие медицинские работники, представители комитета здравоохранения Волгоградской области, мэрии города, местного депутатского корпуса, а также общественность и благодарные пациенты. Труд волжских...
Модернизация здравоохранения идёт по плану: в Волгоградской области обсудили вопросы, связанные с региональной медициной
13 ноября губернатор Волгоградской области Андрей Бочаров провел совещание с участием руководителей финансово-экономического блока, депутатов облдумы, представителей профессионального сообщества сферы здравоохранения. Волгоградская область, несмотря на экономические вызовы, продолжает планомерно создавать передовую систему здравоохранения для населения....
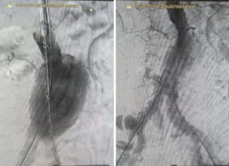
«Корсет» для аневризмы: в Волгограде провели сложную операцию без открытого вмешательства
В Областной больнице № 1 врачи успешно провели сложную операцию по установке стент-графта. Эта процедура была необходима для лечения аневризмы брюшной аорты. Разрыв аорты был опасен для жизни. Чтобы его предотвратить, а аневризма была достаточно...
В Волжском в больницу Фишера привезли новое медоборудование для реабилитации
122 единицы современного оборудования для реабилитации поступили в больницы Волгоградской области. В списке медучреждений значится и волжская больница Фишера. Кроме больницы Фишера, новым оборудованием оснащаются лечебные центры региональной столицы. Среди них: областные больницы №1, №3...
Волжанкам увеличат «декретные» в 2026 году
Отделение Социального фонда России по Волгоградской области сообщило о размере пособий по беременности и родам на 2026 год. Согласно представленной информации, выплаты для женщин региона увеличатся. Максимальная сумма пособия при стандартном отпуске продолжительностью 140...
Клещи заразили болезнью Лайма 12 жителей Волгоградской области
Клещи заразили опасной болезнью 12 жителей Волгоградской области. Медики лабораторно подтвердили у них иксодовый клещевой боррелиоз или болезнь Лайма. В этом сезоне специалисты регионального управления Роспотребнадзора отметили высокую активность клещей. С укусами опасных насекомых с...
Облпотребнадзор напомнил волжанам о прививках для взрослых
Иммунитет против различных заболеваний важен не только для детей, но и для взрослых, отметили в Облпотребнадзоре. Именно поэтому Национальный календарь профилактических прививок предусматривает обязательное проведение вакцинации среди взрослого населения. Прививки для всех В ведомстве напомнили, для...
В Волгоградской области кампания по вакцинации против гриппа охватила около 1,3 миллиона человек
Более 1 миллиона 292 тысяч жителей региона, включая свыше 319 тысяч детей, уже получили прививки против гриппа. В процессе вакцинации взрослого населения используются отечественные вакцины, такие как "Совигрипп", "Флю-М" и "Гриппол плюс", содержащие актуальные...
Жители Волгоградской области стали меньше болеть ОРВИ
В нашем регионе зафиксировано снижение заболеваемости острыми респираторными вирусными инфекциями (ОРВИ) и гриппом. Согласно информации, предоставленной региональным управлением Роспотребнадзора, количество зарегистрированных случаев уменьшилось на 10% по сравнению с предыдущей неделей. В сравнении с аналогичным...
Стал известен график работы «скорой» и травмпунктов в праздники
Областной комитет здравоохранения обнародовал информацию о распорядке работы медучреждений в праздничные дни. В ведомстве сообщили, что в «ноябрьские» больницы и поликлиники региона обеспечат максимальную доступность помощи для жителей. В частности, сообщается, что служба неотложки и...
























